Login:  Senha: 
 

DÚVIDAS FREQUENTES
VOLTAR
EDITORIAL
GASTRITES
ENDOSCOPIA EM AÇÃO
PANCREATITE CRÔNICA
IMAGEM DESTE NÚMERO
FAÇA SEU DIAGNÓSTICO
BIBLIOGRAFIA
AGENDA
TIRE SUAS DÚVIDAS
SAIR (logoff)

 

Revista de Gastroenterologia da Fugesp - GASTRITES
Set/Out-2001

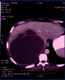
IMAGEM DESTE NÚMERO

Imagem tomográfica do abdome evidenciando
um abscesso hepático.
Observação: Drs. Denise Paranaquá Vezozzo e Sérgio Barbosa Marques.

Imprima esta página Imprima esta página

|| PUBLICIDADE
 
 
 
 
  Todos os direitos reservados - Fugesp | Desenvolvido pela CanalVirtual.com.br