MALEFÍCIOS DO TABAGISMO
O tabaco comum é um grande inimigo da humanidade e mata muita gente. O tabaco contém numerosas substâncias químicas que são causadoras de câncer, denominados cancerígenas. Esses agentes nocivos incluem nitrosaminas, aminas aromáticas, alcatrão e outros tantos radicais químicos danosos. Há referência a 3.500 radicais químicos prejudiciais à saúde. A nicotina é responsável pela dependência, ou seja, por atuar no sistema nervoso central, tornando o indivíduo viciado e portanto dependente do cigarro. É um verdadeiro escravo. É pena que por fatores diversos muitos jovens se iniciam no fumo, salientando-se que ninguém fuma seu primeiro cigarro com prazer, nem o segundo e nem o terceiro.O jovem insiste até se viciar. É de tal forma estabelecido o efeito prejudicial do cigarro, que o próprio produto trás, obrigatoriamente, escrito na embalagem essa informação.
 |
| Gráfico adaptado de percentuais de câncer provocados pelo cigarro (Arquivo FUGESP). |
A morte por câncer do pulmão conforme se observa no gráfico ao lado, é ocasionado pelo cigarro em 30% dos casos. Doenças respiratórias, ao redor de 23%; outros cânceres (do esôfago e do estômago principalmente) 7-8%; doenças cardiovasculares 38%; derrames cerebrais (AVC) 4%. Os percentuais apontados são aproximados, mas muito representativos. Esses dados foram adaptados das publicações de Colditz GA e Fisher LB, referentes ao estudo de 440.000 mortes anuais ocorridas nos Estados Unidos no período de 1995 a 1999 (Ovid Medline).
|
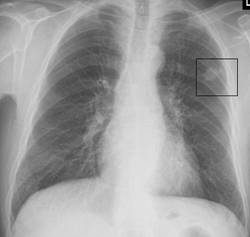
| Raio-X de pulmão com câncer. (Fonte Google). |
O pulmão é freqüentemente atingido pelo tabaco como mostra o RX ao lado. Aproximadamente 30% dos óbitos por câncer de pulmão são ocasionados pelo cigarro. Outras doenças respiratórias, tipo bronquites crônicas e enfisemas que podem preceder o câncer, são freqüentemente ocasionadas pelo tabaco. Nota-se que o pulmão não é o único órgão que se prejudica: cânceres do estômago e esôfago entre outros são favorecidos pelo tabagismo.
 |
| John Wayne (Fonte Google). |
Muitos artistas, quando não se sabia do potencial mortífero do cigarro, foram vítimas do tabaco. Grandes fumantes foram Clark Gable, Humphrey Bogart, John Wayne, Steve Mac Queen, Yul Brinner, Robert Mitchum entre outros. Muitos deles perderam a vida pelo cigarro. Era o tempo em que a Medicina não havia estabelecido, com segurança, os malefícios do tabagismo. Essa citação de grandes astros visa alertar a mocidade para que se firme em seu próprio “ego”, não se perdendo por exemplos, inclusive de artistas não advertidos na época.
|